Where Digital Dentistry Merges With Natural Aesthetics
Implants | smile make-Overs | Pressable ceramics | cad-cam restorations | occusal Reconstruction
A Personalized Approach to Precision Dentistry
MBM Dental Studio
Michael Mortellite is the founder of MBM Dental Studio, located in Hammonton, New Jersey, and is a graduate of the Lyons Institute of Dental Technology. Michael has over thirty years of experience in the Art and Science of dental ceramics. MBM Dental Studio opened its doors in 1989. The business is an intimate, high-quality laboratory specializing in full mouth function and reconstruction for doctors and dentists. Michael is proud to partner with many clients who have sought out and received training from the prestigious Panky and Dawson institutes to further their education in oral function, esthetic, and cosmetic dentistry practices. MBM Dental Studio takes pride in delivering cases that exemplify its high standards in excellent, esthetic, and restorative dentistry.
Michael’s passion for higher education and refining his artistic skills has led him to study with many talented technicians in the United States, Europe, and Japan. His training includes courses with the Willie Geller Oral Design Group and the Noritake Dental Group under the guidance of Aki Yoshida. These courses highlighted and enhanced his layering techniques in pressable ceramics and other ceramic and zirconia systems.
Michael authored numerous articles published in a variety of industry journals, including The Incisal Edge Dental Journal. He has been selected by leading manufacturers such as Darby Dental and Benco Dental to showcase the benefits of innovative esthetic products. Additionally, he has lectured on the advantages and aesthetic qualities of Noritake porcelains on behalf of Zahn Dental Laboratory, a division of Henry Schein.
Michael has worked as a technical consultant and a hands-on clinician. He continues to present on various topics at multiple venues. Most recently, he delivered a presentation on his advanced layering technique for achieving internal translucency using Noritake Luster and opacious body porcelains. When these products are utilized correctly, they create lifelike restorations for zirconia, PFM crowns, and pressed-to-zirconia cases.
We Specialize In
- Implants
- Smile Make-Overs
- Cad-Cam Restorations
- Occlusal Reconstruction
- Pressable Ceramics
- Encode/ITero (compatible)
- Advanced Dental
Digital Scans Accepted
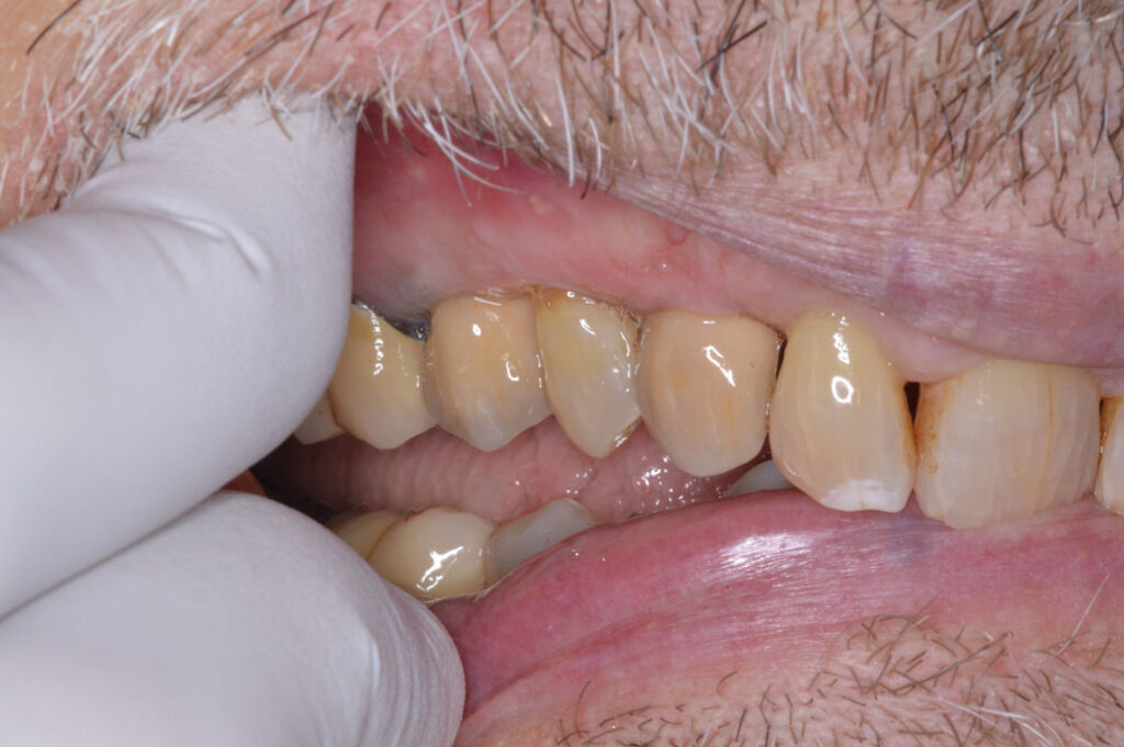
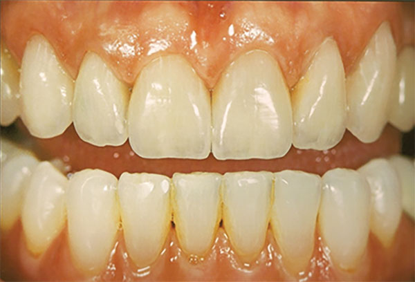
Completed Single Unit Build-Up
This photo shows the final result of a single unit tooth build-up, fully restored and ready for function. To see the full step-by-step process, refer to the photos shown to the side.
Why should you use
mbm dental studio?
MBM can give you an advantage above other clinicians. MBM’s advanced experience, vast technical and clinical knowledge of the science in the art of dental ceramics and restorations is the reason. MBM has worked 35 plus years and been mentored by some of the best ceramic engineers in the dental industry.
These engineers and scientists that MBM have worked with, have developed dental porcelains for dental technicians to enhance and mimic natural shades, translucency, iridescence, opalescence, light refractions, and light reflection of patient’s natural teeth.
MBM’s 35 plus years of experience recognizing and enhancing patients individual needs to ensure that restorations match seamlessly with the patient’s smile. MBM’s extensive knowledge of layering the most compatible and esthetically pleasing ceramic materials is indisputable.
Your patients will be wowed from a multi-shade single tooth to a full mouth reconstruction.
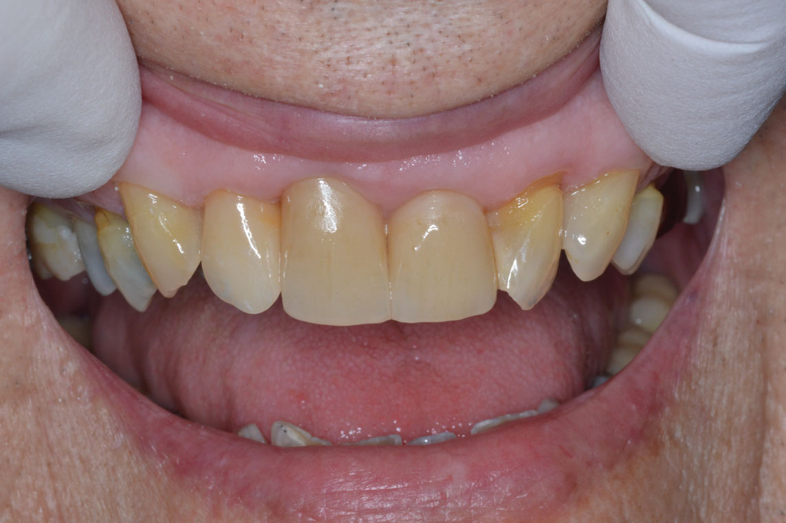
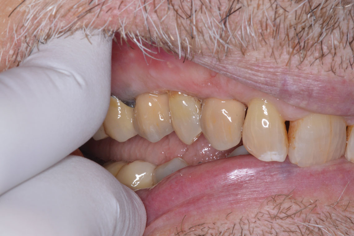
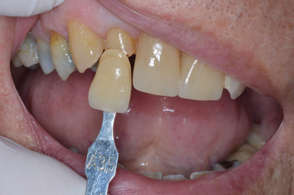
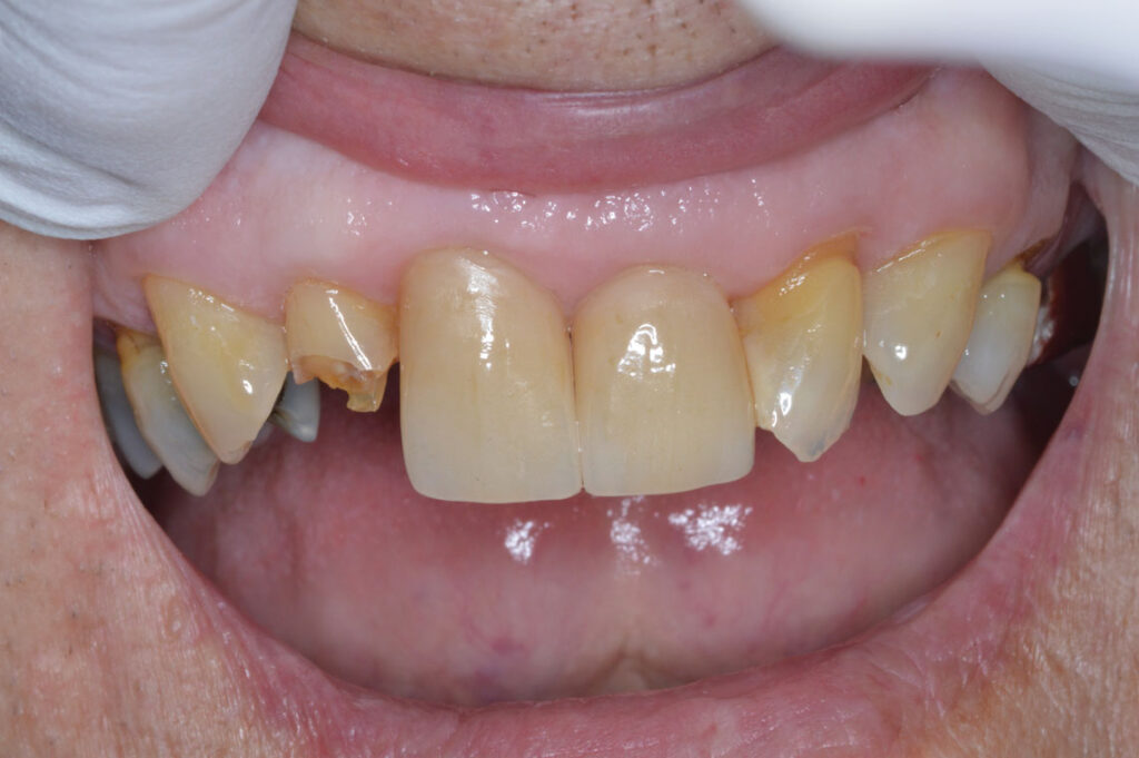
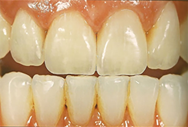
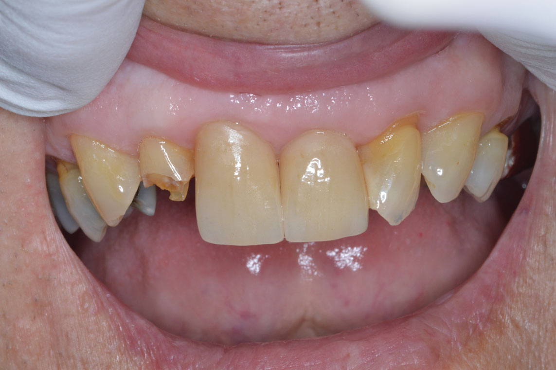
Our photos show the dramatic difference.
Remember if you’re NOT using MBM Dental Studio, maybe you should be.
STUDIO GALLERY
Function and Beauty is in Every Restoration
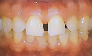
Veneer Smile Enhancement Case
#7 - 10
Porcelain Infused to Metal, Six Unit Bridge #6 - 11
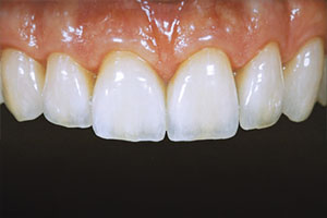
EMAX Full Veneer Case Upper #6 - 12 & Lower #22 - 27
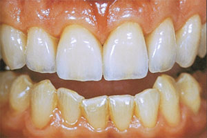
PORCELAIN TO ZIRCONIA VENEER & PORCELAIN JACKET COMBINATION #6 - 12
click each tab to view our work
SINGLE UNIT BUILD UP | PORCELAIN TO ZIRCONIA
Contact Us
Where Digital Dentistry Merges With Natural Aesthetics
Quick Links
425 Ninth Street | Hammonton, NJ 08037
Phone: 609-567-4605
www.mbmdentalstudio.com
©2025 MBM Dental Studio
Designed by Secrest Design















